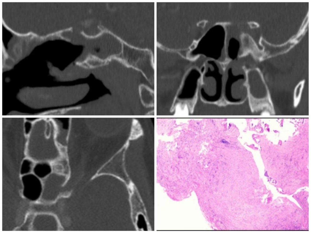
近日,我院凭借精湛的内镜微创技术,救治了一名66岁侵袭性真菌性蝶窦炎、视神经炎患者,助其恢复视力。患者先前因头痛和视力减退在外院就诊并接受手术治疗,但术后未能明确诊断导致治疗效果不佳。转入我院后,患者左眼已完全失去视力,无光感,头痛剧烈,经诊断发现霉菌组织侵犯视神经周围及鼻颅底区域。若不及时干预,将面临永久性失明、病变波及颅内甚至危及生命的风险。

我院鼻颅底专业医疗团队在王德辉教授的带领下,迅速开展多学科会诊,综合多方意见,精准研判、周密制定手术方案,采用内镜微创技术,精细切除视神经周围及鼻颅底受霉菌侵犯的病变组织。与此同时,视神经减压术同步实施,精准清除病灶、解除视神经压迫,最大程度保护正常组织与神经功能,并给予患者抗真菌治疗。术后,患者头痛已基本缓解,病理报告证实急性侵袭性霉菌病,视神经受真菌侵蚀。
患者出院前,我院医疗团队再次进行术腔的清理检查,同时给予抗真菌药局部术腔填塞。术后3周,患者左眼视力以无光感恢复到眼前指数。从视力丧失的绝望,到光明重见的欣喜,患者及家属对治疗效果非常满意,也向王德辉教授团队表达了感谢,称赞了团队的精湛技术和贴心服务。
苏大附四院耳鼻咽喉科鼻颅底专业团队深耕鼻颅底、视神经相关疑难病症诊疗,依托先进内镜技术与多学科协作优势,攻克复杂病例、守护患者健康。妙手回春,光明重见,用专业医术为每一位患者守住光明,守护生命。